La experimentación con animales es una fuente de investigación imprescindible. Pero, por cuestiones bioéticas, los científicos intentan encontrar maneras de evitar tanto como sea posible la utilización de animales. Este trabajo ha permitido obtener un modelo celular artificial que reproduce la piel de los perros y que permitirá, por lo tanto, llevar a cabo muchas líneas de investigación relacionadas con la biología de la piel sin tener que usar animales vivos.
Serra M, Brazis P, Puigdemont A, Fondevila D, Romano V, Torre C, Ferrer L. "Development and characterization of a canine skin equivalent" Experimental Dermatology 2007; 16: 135-142
La estructura básica de la piel consiste en una capa externa, la epidermis, y una interna, la dermis, separadas por una membrana basal funcional. Las interacciones entre las diferentes poblaciones celulares, que son de vital importancia en la biología de la piel, no pueden ser investigadas adecuadamente mediante los cultivos celulares convencionales. El objetivo del estudio fue desarrollar un modelo de piel artificial canina, similar en la medida de lo posible a la piel normal. Este modelo sería útil para investigar la biología y patología de la piel y representaría una alternativa a la utilización de animales en investigación.

Para el desarrollo de este modelo, se aisló queratinocitos epidérmicos y fibroblastos dérmicos de muestras de piel fresca de perros sanos. Se introdujo los fibroblastos en una matriz de colágeno, formando el substrato dérmico del modelo. Este "equivalente dérmico" hizo de soporte a los queratinocitos aislados, que fueron cultivados en su superficie y se mantuvieron en condiciones de crecimietno expuesto al aire. Los nutrientes difunden desde el medio de cultivo hacia el compartimento epidérmico, atravesando el substrato dérmico. En el presente modelo, los queratinocitos proliferan y se diferencian en una epidermis formada por unos estratos basal, espinoso, granuloso y corneo definidos.
Las muestras obtenidas se analizaron mediante técnicas histológicas, inmunohistoquímicas y de microscopia electrónica en diferentes tiempos de cultivo, para evaluar su evolución.
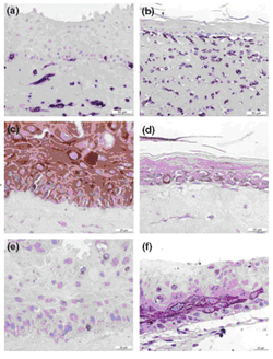
En el estudio morfológico se observó que, pasados 15 días, los queratinocitos epidérmicos se diferenciaban en una epidermis estratificada (Figura 1). Se observó que la expresión de proteínas específicas de la dermis (vimentina) y epidermis (queratinas) seguía el mismo patrón de expresión que en la piel canina normal (Figura 2).
Se detectó la formación de la membrana basal, a nivel ultraestructural, y la expresión de proteínas características de la matriz de la membrana basal madura (colágeno IV y laminina 5) (Figura 3).

En resumen, el modelo desarrollado presentó una estructura morfológica similar a la de la piel canina y su análisis inmunohistoquímico reveló la expresión de los mayores marcadores de la epidermis, dermis y membrana basal de la piel canina normal.
Gracias a este modelo de piel canina artificial desarrollado en UNIVET, una spin-off de la UAB, en colaboración con la empresa especialista en nutrición animal Affinity Petcare, se podrán llevar a cabo estudios de funcionalidad de la barrera epidérmica, viabilidad, detección de la expresión de proteínas específicas de diferenciación celular, así como el estudio de la formación de la membrana basal, en respuesta al tratamiento con diferentes compuestos.
2026 Universitat Autònoma de Barcelona
B.11870-2012 ISSN: 2014-6388